Original Research

Prevalence and Distribution of Oral Mucosal Lesions and Normal Variants among Nepalese Population

Background. Oral mucosa is encountered by various lesions and normal variants. Some are not to be worried about, whereas others may be of significance. Knowing the prevalence of oral mucosal lesions in a particular region helps better evaluate, diagnose, and, thus, manage these lesions. Objectives. To assess the prevalence and distribution of oral mucosal lesions and normal variants among various age groups, genders, and sites of the orofacial region. Methods. This cross-sectional study was cond

KNOWLEDGE, AWARENESS AND PRACTICE REGARDING ORAL CANCER AMONG UNDERGRADUATE STUDENTS AND INTERNS IN A DENTAL HOSPITAL

Oral cancer is one of the three most common types of cancer and 2nd most common cancer in males in Nepal. The main causes of oral cancer are the consumption of tobacco, areca nuts, alcohol, betel nuts etc Very few studies have been done in Nepal regarding awareness of Oral Cancer among college-going students. Since future doctors will also be responsible for the prevention and management of Oral cancer, it prompted us to conduct a study to evaluate the awareness, knowledge and practice regarding Oral cancer.

Comparative Evaluation of Efficacy and Safety of the Diode Laser (980 nm) and Sclerotherapy for the Treatment of Oral Pyogenic Granuloma

Background. Pyogenic granuloma (PG) is a tumor-like, non-neoplastic lesion of the soft tissue that commonly appears in the oral cavity. Various treatment modalities have been discussed, including surgical excision, cryosurgery, curettage, electrodessication, corticosteroid injection, sclerotherapy, and lasers. This observational retrospective study compared effectiveness between diode lasers and sclerotherapy for PG treatment. Materials and Methods. From July 2016 to January 2021, data of oral P

Comparative Evaluation of Efficacy and Safety of the Diode Laser (980 nm) and Sclerotherapy in the Treatment of Oral Vascular Malformations

Background. Vascular malformations are structural abnormalities which are formed by progressively enlarging aberrant and ecstatic vessels without endothelial cell proliferation and composed of the type of vessel involved, i.e., capillary, veins, and arteriovenous. Treatment of vascular malformations may involve many techniques like sclerotherapy, embolization, surgical resection, cryotherapy, laser treatment, or medical therapy. This observational prospective study is aimed at evaluating and com

Assessment of Condylar Shape through Digital Panoramic Radiograph among Nepalese Population: A Proposal for Classification

Background. Panoramic radiograph is the first and most commonly advised radiograph for screening of temporomandibular joints/condyles. Different shapes of the mandible have been discussed by various authors with no consensus for a definite classification for condyle shape. This study was conducted with the objective to observe various shapes of condyles, symmetry of bilateral condyles, and variations of condyle shapes among males and females. Materials and Methods. This cross-sectional study was

Spectrums of oral health diseases during covid-19 pandemic

Oral diseases are considered a major burden on scarce resources, especially from a public health perspective, due to their impact on pain, discomfort, and compromised quality of life. l'2 Treatment for oral conditions are generally unaffordable and universal health coverage remains a challenge in most parts of the world. Even in high income countries, oral health related care amounts to almost 5% of the total health expenditure and 20% out-of-pocket health expenditure.3The COVID-19 pandemic has sharply brought into focus the need to re-examine oral health systems given that virtually every aspect of healthcare delivery has been impacted by the outbreak including oral health care delivery.

Oral Health Knowledge, Attitude, and Practices among School Teachers in Chitwan District, Nepal

Background. Oral health is dependent on the knowledge and awareness of the individuals. Teachers as individuals influence the children in every aspect including oral health maintenance. The objective of this study was to assess the oral health knowledge, attitude, practices, and oral health status among school teachers in Chitwan District, Nepal. Materials and Methods. A cross-sectional study was conducted on 550 school teachers of private and government schools in Chitwan District, to assess th

COVID-19 FACTORS AND MENTAL HEALTH ASSOCIATED WITH PSYCHOLOGICAL DISTRESS LEVEL AMONG DENTISTS AND DENTAL HYGIENISTS IN NEPAL

The COVID-19 pandemic, which is caused by a severe acute respiratory syndrome corona virus 2 (SARS-CoV-2), is acknowledged an unprecedented crisis that has adversely affected the population globally and created a situation of emergency in health systems worldwide. The aim of present study was to evaluate the association of COVID-19 factors and psychological factors with psychological distress level among dental professional of Nepal.

Editorial/ Letter to Editor

Explore a featured selection of my writing work below.

ORAL CANCER SCREENING | Journal of Chitwan Medical College

Oral cancer incidence ranges around 3-4 percent of all cancers and the relative survival rates are among the lowest of major cancers.1 Oral cancer is one of the three most common types of cancer and 2nd most common cancer in males of Nepal.2,3 Oral cancers include the oropharyngeal region: lip, oral cavity, nasopharynx, and pharynx. Tobacco/Arecanut use and excessive alcohol consumption are estimated to account for about 90% of oral cancers.

Areca nut an ignored carcinogen of Asian continent in a nutshell

Areca nut is the fruit of Areca catechu palm tree mainly grown in South East Asia and Pacific islands. Areca nut is chewed by approximately 600 million people worldwide (10–25% of world’s total population). Most of the chewers are concentrated in the Asian continent such as India, Nepal, and Pakistan, wherein chewing betel quid and areca nut are considered as a part of custom and tradition in some of the communities, affecting approximately 20% of the native population.[1,2] The report of the GATS for India showed betel quid with tobacco which was used by 7.5% men and 4.9% women, and mixtures of areca nut and tobacco, without betel leaf (Gutka and Mawa) used by 13.1% men and 2.9% women.[3] It is the fourth most common psychoactive substance used globally.[1,3] Areca nut is chewed in various forms; plain supari, sweet supari, pan masala and in the form of gutkha. The independent role[4] of areca nut in oral cancer as well as synergistic effects with alcohol and tobacco is well documented in the literature and the International Agency for Research on Cancer in 2004 has classified areca nut as Group I carcinogen.[2] Realizing the carcinogenic effects of tobacco government of India have impleted the cigarettes and other tobacco products (Prohibition of Advertisement and Regulation of Trade and Commerce, Production, Supply and Distribution) Act, 2003 can in to force which prohibits smoking in public place, direct, and indirect advertisement of tobacco products, sale of tobacco products to minors and nearby educational institutions; mandates depiction of pictorial health warnings on all tobacco packs. However, there is no similar act for areca nut yet; moreover, areca nut is considered as a food product category and only positive thing is that it cannot be mixed with tobacco and sold legally under food safety and standards Act, 2006 which states: “Tobacco and nicotine shall not be used as ingredients in any food products.”

Case Reports

Explore a featured selection of my writing work below.

Drug-Induced Erythema Multiforme

Erythema multiforme (EM) is an acute inflammatory, mucocutaneous, psychosomatic, and vesiculobullous condition that varies from minor to major forms. The acral distribution of target lesions is a characteristic of this condition. The aetiology of erythema multiforme is multifactorial. 90% of the cases are triggered by a herpes infection, whereas 10% occur secondary to drug intake. The offending drugs include nonsteroidal anti-inflammatory drugs, antibiotics, and anticonvulsants. The present case

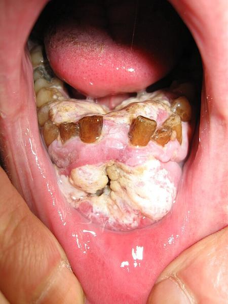
Steroid‐induced inflammatory papillary hyperplasia?—A new entity in a non‐denture wearing patient

Inflammatory papillary hyperplasia (IPH) is an oral mucosal lesion (OML). 1 It is a painless, firm, pink or red, nodular mucosal growth. As IPH is mostly asymptomatic, it is diagnosed incidentally. 2 , 3 Hard palate is the only site involved by IPH in almost all cases 1 ; however, it may occasionally extend to the mucosa of the residual ridges. 2 IPH is more prevalent in males and usually in around 79% of the cases located in anterior region of maxilla. 4 In general, IPH is caused by the irritat

Case Report ORO-FACIAL DIGITAL SYNDROME 1- IN ITS SUBDUED PRESENTATION

Orofacial digital syndrome (OFDS) is an umbrella term for a group of apparently different genetic disorders, affecting the oral cavity, face and digits. OFDS-I is the most commonly encountered syndrome from this group and can present with multi-organ involvement. The case of OFD-I reported here is distinct, as it presents with minimal clinical features of OFDS-1 and will help the orophysicians in formulating the diagnosis.

Review Articles & Blogs

Explore a featured selection of my writing work below.

Unique and Incidental Findings in Newborn Screening Programs in Canada and Latin America

The unique and incidental findings can vary based on regional health priorities, genetic diversity, and the scope of the screening panels in each country. These findings may prompt additional assessments and interventions to ensure the well-being of the newborns and provide necessary support to their families. Opinions of stakeholders, the general public, and genetics experts will ultimately be crucial in creating a comprehensive disclosure strategy for information derived from clinical sequencing testing.

Newborn Screening Cost, Reimbursement, National Programs, Accessibility and Laboratory Infrastructure in Canada and Latin America

Newborn screening is a vital healthcare practice, crucial in identifying and treating infant conditions. The cost, reimbursement, accessibility, and laboratory infrastructure associated with newborn screening vary across regions, including Canada and Latin America. Challenges remain while both regions have made significant progress in implementing newborn screening programs.

Current State of N eonatal Testing of Spinal Muscle Atrophy in Canada and Latin America

Spinal muscular atrophy (SMA) is an autosomal recessive condition marked by the irreversible loss of motor neurons, causing increasing muscle weakening and atrophy of the limb, trunk, bulbar, and respiratory muscles, making it difficult to breathe, feed, walk and sit.(Groulx-Boivin et al. 2023; Niri et al. 2023) SMA is one of the leading genetic conditions (1 in 10,000 live-born infants) contributing to infant mortality. (Groulx-Boivin et al. 2023) Severe forms of SMA progress rapidly, early signs are sometimes undiagnostic, and it may take months to diagnose, and treatment may not be entirely possible by then. Before 2016, the main goals of SMA therapy were symptom control and supportive care. Effective disease-modifying treatments (DMTs) have demonstrated significant promise in halting disease development.(Niri et al. 2023) Clinical research has also shown that the medication is most successful when started before the onset of symptoms. Therefore, reducing morbidity and mortality depends on early diagnosis. Early diagnosis is only possible if all infants are screened at birth. With this vision, SMA has been included in many NBS programs. Even the cost-effectiveness analysis has shown that universal NBS for SMA is economically beneficial in regions and nations where disease-modifying treatment is accessible.

Current State of Newborn Genomic Screening in Canada and Latin America

Genomic sequencing is now commonly employed in therapeutic applications, and its use in newborn screening has been vigorously promoted. Predictive genetic testing is being progressively adapted in a paediatrician’s clinic. Over time, questions regarding clinical, ethical, economic, moral, legal, psychological, social, geographical and technical issues have been brought up by the expansion of newborn screening(NBS) globally.(Remec ZI 2021) In the 1960s phenylketonuria (PKU) screening programs were pioneered for newborn screening followed by screening for congenital hypothyroidism (CH) in the 1970s.(Remec ZI 2021, Brosco J 2022) With evolution of tandem mass spectrometry and further research such as high-throughput sequencing technologies, have saved both time and cost for massive multiparallel sequencing. Currently, developed countries have only been able to fully use NBS whereas developing countries are still struggling with their unique issues.( Cabello JF 2021)

Research Proposal/Protocol

Explore a Sample of my writing work below.

Parental awareness, attitude and acceptability toward HPV vaccine, Jeddah, Saudi Arabia: A cross sectional study

Human papillomavirus (HPV) is one of the most common viruses affecting the genital skin and mucosa (1) . HPV can cause cancers of the oropharynx, vagina, anus, and penis (1). There are more than 200 different types and most of them do not cause any disease in most individuals but some types can cause genital warts or even cervical cancer which is the reason for concern (2). Those causing cancer are called oncogenic or high-risk serotypes and those not causing any lesions or symptoms are called non-oncogenic or low-risk serotypes (1,3) . As supported by the report of the ICO/IARC Information Centre on HPV and Cancer report (4), cervical cancer (CC) can also be considered the 3rd most common gynaecological cancer in women in Saudi Arabia as there is no exact data available for the prevalence in Saudi Arabia but the genotype of HPV is same as seen worldwide (5). The Saudi Ministry of Health (MOH) reports that there are 1.9 incidences of CC for every 100,000 women in Saudi Arabia (6). In Saudi Arabia, the majority of HPV-positive tumours are also infected with HPV-16/18/45 (70% cases), which causes cancer to manifest about 5 years earlier than the combined HPV-negative and other HPV genotypes (7,8).

Ghost Authored Manuscripts

Explore a featured selection of my writing work below.